Các bác sĩ tại Đại học Y khoa Thành phố Hồ Chí Minh chẩn đoán bệnh nhân mắc bệnh võng mạc tiểu đường giai đoạn giữa. May mắn thay, bệnh không sâu. Bệnh nhân chỉ cần điều chỉnh lượng đường trong máu, tuân thủ kế hoạch điều trị và kiểm tra thường xuyên kết hợp với kế hoạch tập thể dục.
Trong chuyến thăm Tian Jiang, có 49 bệnh nhân. Cuộc kiểm tra cũng cho thấy mắt phải bị phù hoàng điểm trong bối cảnh bệnh võng mạc tiểu đường. Sau khi đông máu hoàn toàn bằng võng mạc và tiêm nội nhãn, thị lực của bệnh nhân dần được cải thiện. -Các bác sĩ khám cho bệnh nhân. Ảnh: N.P
Bác sĩ Nguyễn Thanh Luân, Khoa Nhãn khoa, Bệnh viện Đại học Thành phố Hồ Chí Minh, cho biết biến chứng ở mắt do tiểu đường là một trong những nguyên nhân chính gây mù trên toàn thế giới. Các biến chứng thường gặp là tăng nhãn áp, đục thủy tinh thể và bệnh võng mạc. Những biến chứng này phát triển lặng lẽ, không có triệu chứng rõ ràng khiến bệnh nhân khó nhận ra chúng và hầu hết chúng được phát hiện trong giai đoạn sau của suy giảm thị lực.

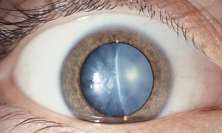
Trong ba trường hợp trên, bệnh tăng nhãn áp và đục thủy tinh thể có thể tiên lượng và phục hồi thị lực tốt. Bệnh tăng nhãn áp có thể được kiểm soát bằng thuốc nhỏ mắt, và đục thủy tinh thể có thể được giải quyết hoàn toàn bằng phẫu thuật Phaco. Đồng thời, nếu phát hiện ra bệnh võng mạc tiểu đường trong tương lai, sự phức tạp và đáp ứng kém với điều trị. Phương pháp điều trị hiện tại bao gồm laser đông máu võng mạc, bác sĩ Luân cho biết: tiêm chích mạch máu mới hoặc chống Phù hoàng điểm, cắt bỏ tử cung và cắt bỏ võng mạc. -Eye biến chứng do bệnh tiểu đường. Ảnh: NP
Nguy cơ đục thủy tinh thể ở bệnh nhân tiểu đường cao gấp 2 – 5 lần so với người bình thường, bệnh tăng nhãn áp cao hơn khoảng 40%. Bệnh nhân càng lớn tuổi, khả năng biến chứng càng cao. Triệu chứng của bệnh tăng nhãn áp bao gồm đau đầu. Mắt bị đau, chảy nước mắt, mờ mắt, halos, v.v … Tuy nhiên, bệnh võng mạc tiểu đường hầu như không có triệu chứng. Bác sĩ Luân khuyên bệnh nhân tuân thủ nghiêm ngặt kế hoạch điều trị, kiểm soát lượng đường trong máu, huyết áp và lipid máu và hạn chế uống rượu, chẳng hạn như hút thuốc hoặc uống rượu, và nên tránh hút thuốc. Biến chứng của bạn. Đồng thời, mỗi bệnh nhân cần có kế hoạch theo dõi và điều trị đặc biệt từ bác sĩ nhãn khoa.